Braces in New York, NY
Traditional Braces in Lower Manhattan for Straighter, Healthier Smiles
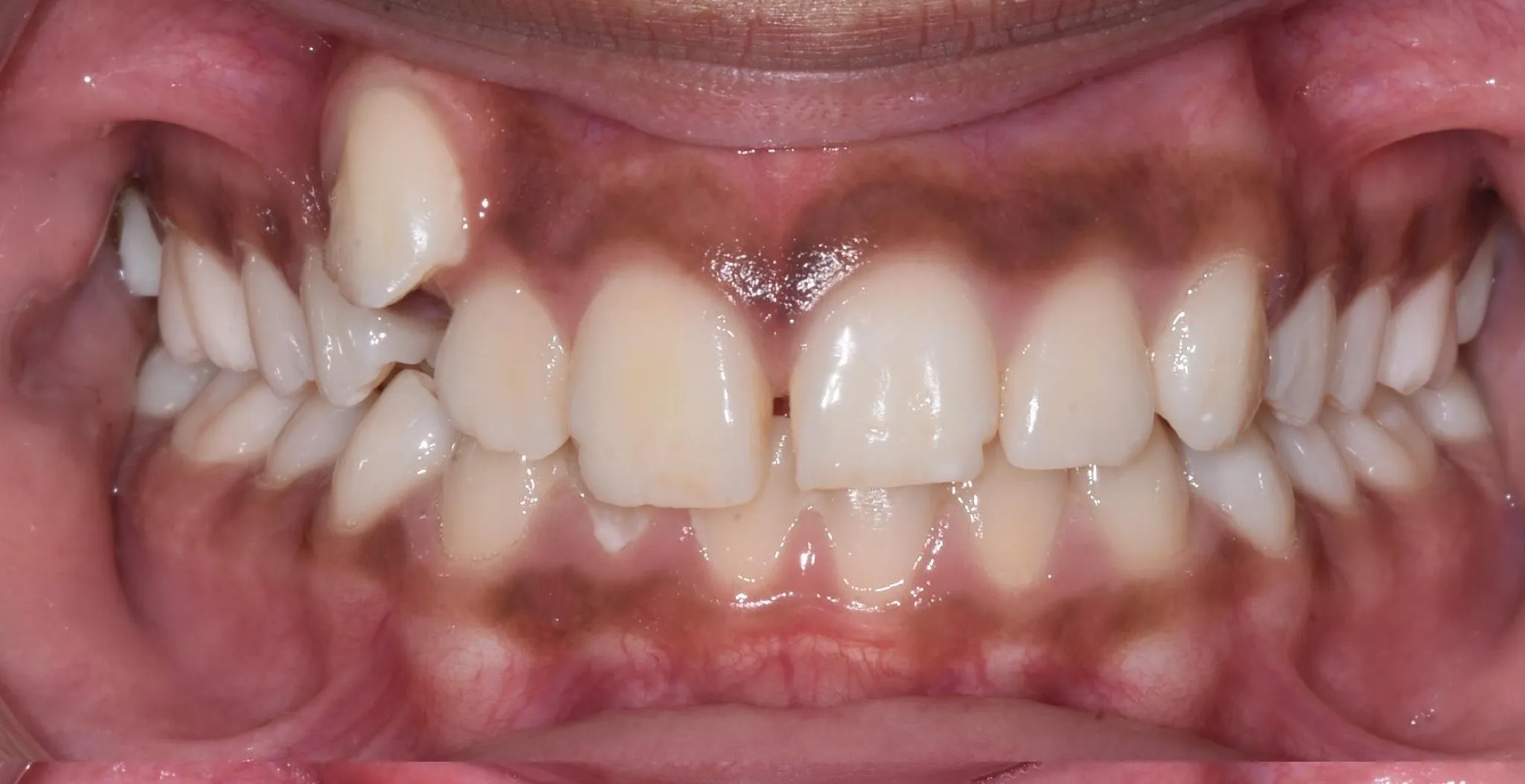
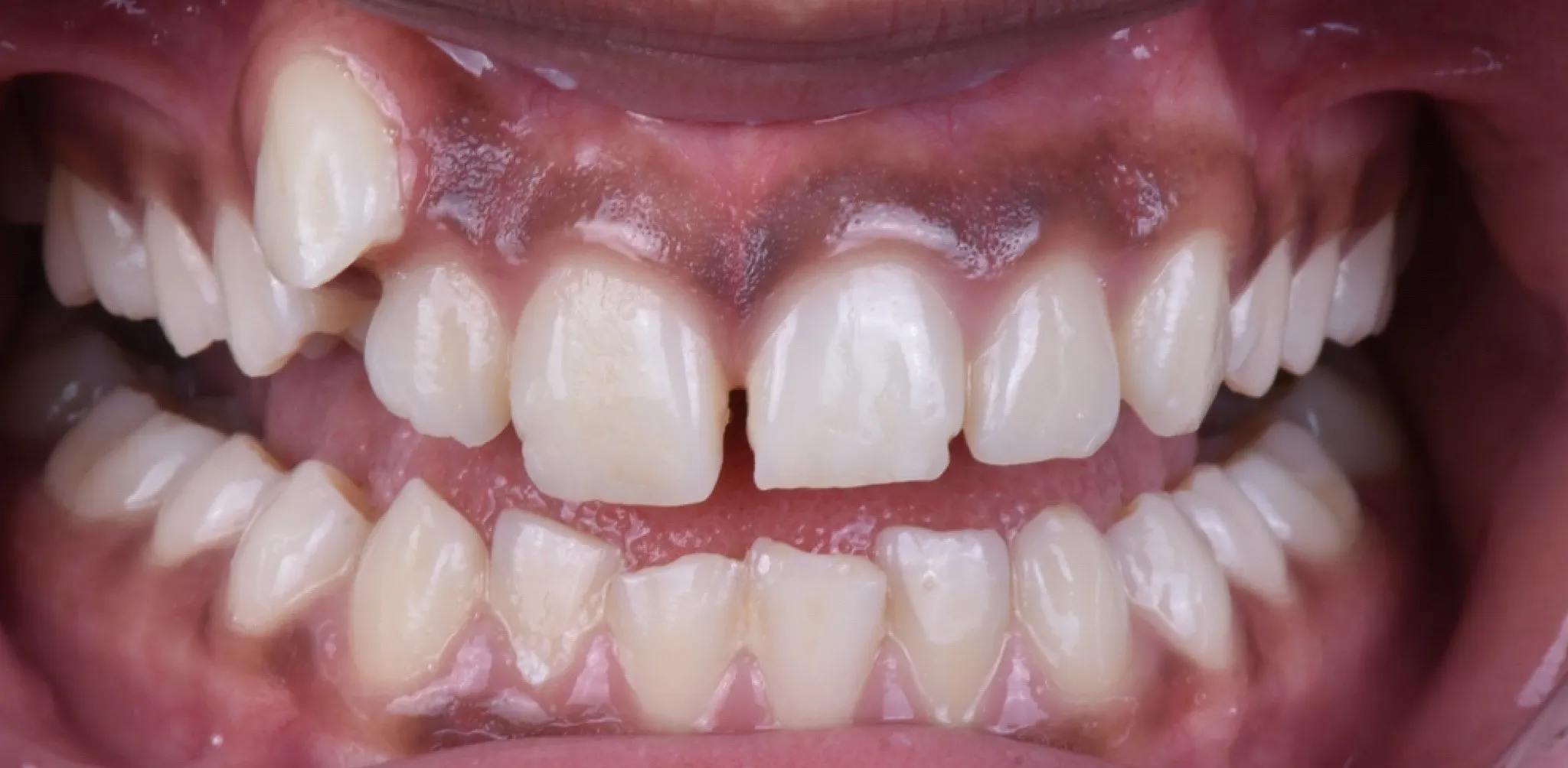
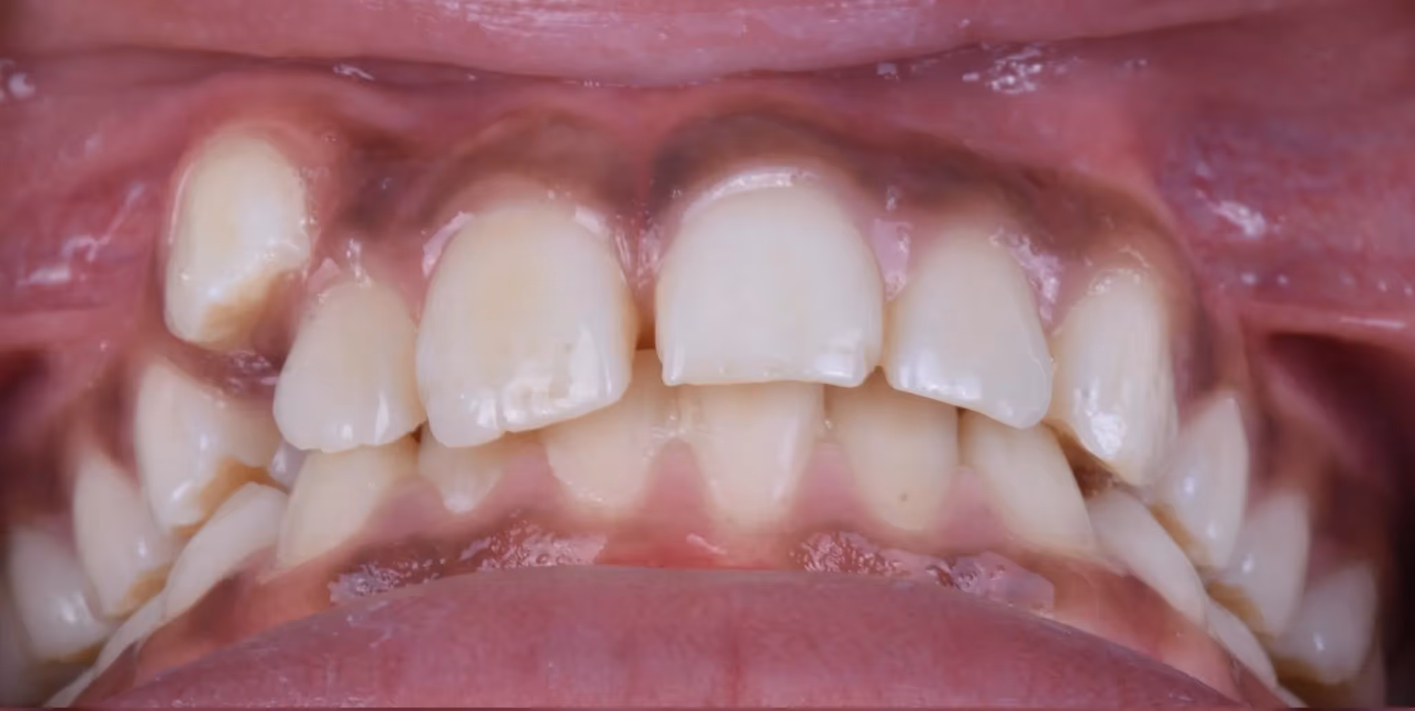
Braces remain one of the most reliable and time-tested orthodontic treatments for correcting misaligned teeth, bite concerns, and jaw discrepancies. At Wall Street Orthodontics, we provide customized braces in New York, NY, serving patients throughout Lower Manhattan — including Wall Street, the Financial District (FiDi), Tribeca, the Seaport District, Chinatown, SoHo, and Battery Park City.
Led by Dr. Lucas W. Shapiro, our practice combines established orthodontic techniques with advanced digital technology to support precise diagnosis and carefully planned tooth movement. Whether you live or work in the Financial District or commute from Tribeca or SoHo, our Lower Manhattan office is conveniently located for ongoing orthodontic care.
If you are exploring all available treatment options, visit our page on orthodontic services in NYC to learn more.
What Can Braces Treat?
Braces are highly versatile and appropriate for many orthodontic concerns affecting teens and adults in New York City. Treatment may address:
- Crowded or overlapping teeth
- Gaps or spacing issues
- Overbite, underbite, and crossbite
- Jaw alignment discrepancies
- Complex orthodontic cases not ideally suited for clear aligners
For patients in Chinatown, Battery Park City, or the Seaport District seeking comprehensive correction, traditional braces often provide predictable tooth movement for moderate to complex cases.
In situations involving jaw structure concerns, coordinated care through surgical orthodontics may be recommended.
Types of Braces Offered in Our New York City Office
At our Lower Manhattan orthodontic office, we offer multiple braces options to suit your clinical needs and lifestyle.
Traditional Metal Braces
Durable and efficient, metal braces are frequently used for moderate to severe alignment concerns. They are suitable for both teens and adults across NYC.
Clear Ceramic Braces
Ceramic braces use tooth-colored brackets for a more discreet appearance while providing similar mechanics to metal braces.
Lingual Braces
For patients seeking a hidden option, lingual braces are placed behind the teeth.
Invisalign Clear Aligners
Some patients in Tribeca and SoHo prefer removable aligners. Invisalign clear aligners may be appropriate depending on case complexity.
In certain situations, Dr. Shapiro may recommend a combined approach through hybrid orthodontic treatment, integrating braces and aligners in staged care.
What to Expect During Braces Treatment in NYC
Your orthodontic journey in our New York, NY office begins with a comprehensive consultation. Diagnostic records may include:
- Digital impressions with iTero technology
- 3D CT scanning for detailed imaging
These technologies support precise treatment planning tailored to your dental structure.
Once braces are placed, you will visit our Financial District office periodically for adjustments. Most treatment timelines range between 12 and 30 months, depending on case complexity and individual response to treatment.
For working professionals near Wall Street or families in Battery Park City and Tribeca, appointment scheduling is designed to accommodate busy NYC routines.
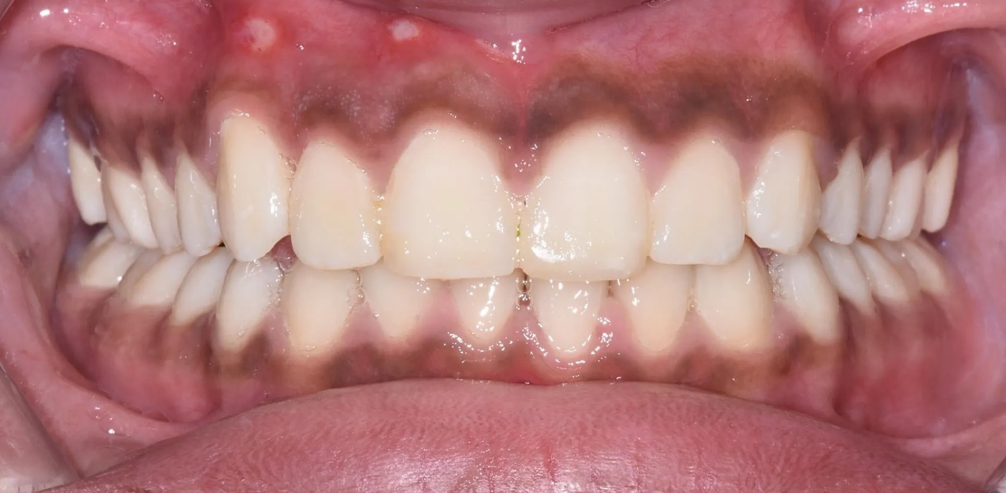
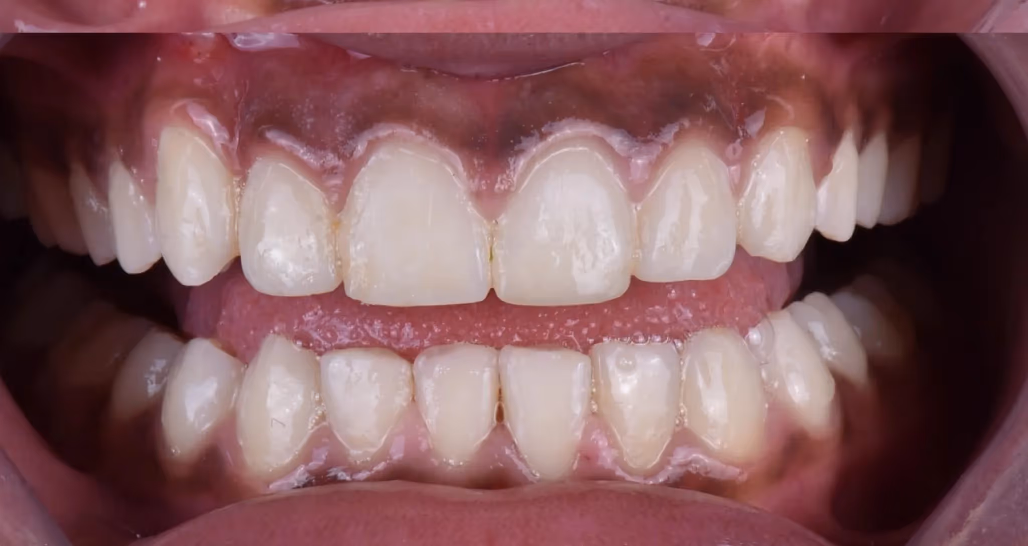
Benefits of Braces
For many patients in New York City, braces offer:
- Comprehensive correction for complex cases
- Fixed appliances that do not require removal
- Durable materials designed for daily function
- Structured, controlled tooth movement
- Customizable band colors for younger patients
After active treatment, retainers help maintain alignment and long-term stability.
Orthodontic Care for Children, Teens, and Adults in Lower Manhattan
Our practice provides braces for:
- Teens attending school in Tribeca, Chinatown, and SoHo
- Professionals working near Wall Street and the Financial District
- Families living in Battery Park City and the Seaport District
Parents in Lower Manhattan can explore early orthodontic intervention to identify developing concerns in children.
Our care philosophy also incorporates modern diagnostics and collaborative treatment planning when appropriate, including interdisciplinary orthodontic treatment. You can learn more about our advanced approach on our technology page.
Conveniently Located in the Financial District of New York, NY
Our office location in Lower Manhattan makes braces treatment accessible for patients who:
- Live in Tribeca
- Work on Wall Street
- Reside in Battery Park City
- Attend school in Chinatown
- Spend time in SoHo
- Live near the Seaport District
As a Financial District orthodontic practice, we are committed to serving the diverse communities that make up Lower Manhattan and greater New York City.
FAQs
How much do braces cost in New York, NY?
The cost of braces in New York, NY depends on the complexity of your case, the type of braces selected, and the estimated treatment duration. During your consultation at our Financial District office, we will review your treatment plan and discuss fees, payment options, and insurance considerations.
How long do braces take to work?
Braces treatment typically ranges from 12 to 30 months. The exact timeline depends on alignment concerns, bite correction needs, and patient compliance with appointments. Patients in Tribeca, SoHo, and Battery Park City receive individualized timelines during their consultation.
Are braces better than Invisalign?
Braces and Invisalign are different orthodontic systems. Braces are fixed appliances often recommended for moderate to complex cases, while Invisalign may be suitable for mild to moderate alignment concerns. A consultation at our New York, NY office helps determine which option is appropriate for your needs.
Do adults get braces in NYC?
Yes. Many adults working in the Financial District and throughout Lower Manhattan choose braces to improve alignment and bite function. Orthodontic treatment is not limited to teenagers and can be appropriate at many stages of life.
Schedule a Braces Consultation in New York, NY
If you are considering braces in New York, NY, schedule a consultation to discuss your treatment options. Dr. Lucas W. Shapiro will evaluate your bite, alignment, and oral health to determine whether braces or another orthodontic solution is appropriate.
Call (212) 871-9835, request an appointment through our contact page or submit photos using our virtual consultation form.
.avif)
.avif)
.avif)
.avif)
.avif)
.avif)
.avif)
.avif)
%20.webp)
.webp)
.webp)
.webp)
.webp)
%20(2).webp)
.webp)
.webp)
.webp)
.webp)






